Di Andrea Petta e Franca Napoli
ANTICHI DENTISTI
Come per gli oculisti, anche i dentisti costituivano una specializzazione molto antica, testimoniata già dall’Antico Regno. Il primo di cui abbiamo notizia è Hesy-Ra (https://laciviltaegizia.org/2022/11/10/hesy-ra/) della III Dinastia (2650 BCE circa), ed anche i dentisti avevano una loro gerarchia a testimoniarne l’importanza.

L’enorme estensione temporale della civiltà egizia, andando fino al periodo predinastico, è riuscita a dimostrare una riduzione delle dimensioni dei denti e della muscolatura per la masticazione (circa l’1% ogni 1,000 anni). L’evoluzione da cacciatori-raccoglitori a coltivatori-pastori con il conseguente aumento dei carboidrati nella dieta ha favorito lo sviluppo di denti più piccoli e maggiormente resistenti alle carie. L’arricchimento successivo della dieta peggiorò notevolmente la situazione.
Per una volta, la paleopatologia ci può aiutare, in quanto i denti sono tra i materiali che si deteriorano meno e ci possono raccontare tante storie antiche; vediamone alcune.
USURA DENTALE

La più comune di queste “storie” è il consumo da attrito del dente. L’utilizzo di macine in pietra relativamente tenera per macinare il grano (i cui frammenti finivano a contaminare la farina) e la sabbia onnipresente hanno provocato l’erosione dello smalto praticamente in tutte le mummie esaminate finora, con la tendenza a diminuire dopo il 1000 BCE, presumibilmente per l’uso di macine migliori. Il fenomeno era talmente diffuso che i moderni paleopatologi hanno dovuto “inventare” una scala di riferimento per descrivere il grado di usura dei denti ritrovati.



CARIE
Al contrario, la percentuale di mummie ritrovate con dei denti cariati è abbastanza bassa. Il “merito” è presumibilmente della mancanza dello zucchero nella dieta egizia. L’unico dolcificante presente all’epoca era il miele, ma era estremamente raro e costoso, inarrivabile per le persone comuni. Da notare che anche la tetraciclina presente in alcuni alimenti (soprattutto nella birra) come contaminante da streptomiceti potrebbe aver avuto un ruolo in queste percentuali molto basse rispetto ad oggi.

Come per l’usura, anche la percentuale delle mummie con denti cariati varia nel tempo, da un 3% circa dell’Antico Regno al 9% dal Nuovo Regno in avanti, fino ad un 20% circa in Età Tolemaica (anche se le percentuali variano molto negli studi pubblicati)
ASCESSI
La mancanza di metodiche adeguate per trattare le carie e le infezioni del cavo orale hanno fatto sì che la presenza di ascessi fosse relativamente alta.
Una delle vittime illustri fu Amenhotep III, il padre di Akhenaton, che indulgendo ad uno stile di vita molto “ricco” divenne prematuramente obeso e la cui bocca è un atlante di patologie dentali. Si sa che i regni alleati, tra cui Mitanni, inviarono offerte ed amuleti per cercare di alleviare i suoi malanni e si dice che abbia costruito il famoso viale delle sfingi per invocare l’aiuto delle divinità…apparentemente senza un grande successo.

IL DENTE PIÙ FAMOSO
Sicuramente il dente egizio più famoso è quello che ha consentito il riconoscimento della mummia di Hatshepsut, un riconoscimento però ancora molto contestato. Un molare ritrovato in un cofanetto con il nome di Hatshepsut nella cachette DB320 risulterebbe combaciante con la mummia KV60A (si veda: https://laciviltaegizia.org/2020/12/24/hatshepsut/).

CURE DENTALI
Come abbiamo visto, il maggior problema dei dentisti egizi, su cui potevano fare purtroppo ben poco, era costituito dall’usura dentale da attrito.
Se il dente consumato si scheggiava e feriva la lingua o l’interno della guancia, il Papiro Ebers consiglia di applicare una mistura di cumino, incenso e polpa di carruba macinata.
Lo stesso papiro consiglia anche per l’alitosi che ne derivava di utilizzare delle pastiglie formate da incenso, mirra e corteccia di cannella, bolliti con del miele.
Da notare anche l’invenzione del collutorio, costituito da chicchi di orzo o di farro, birra dolce e l’estratto di una pianta chiamata “piuma di Nemti” con cui sciacquare la bocca prima di sputarlo.
I denti traballanti venivano fissati con un impasto di farina, ocra e miele, oppure con una sorta di cemento ottenuto tritando finemente la pietra di una macina, sempre impastata con ocra e miele. Da notare che l’ocra ha effetto astringente ed antisettico, tuttora utilizzata in alcune popolazioni come medicina alternativa.
Il rimedio contro gli ascessi indicato sempre nel Papiro Ebers consiste in una mistura di frutto di sicomoro, miele, resina di terebinto e due piante non ancora identificate a formare una sorta di gomma da masticare
TRATTAMENTO DELLE CARIE
Le evidenze di cura delle carie dentali con riempimenti costituiti da lino impregnato di resina risalgono solo all’Età Tolemaica. In realtà non si tratta di terapie “moderne”, ma in pratica si riempiva lo spazio della carie con del Lino (probabilmente) intriso di sostanze lenitive/protettive.
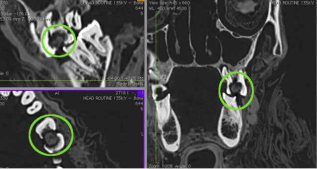
La mandibola di una mummia dell’Età Tolemaica mostra il riempimento di una cavità tra il secondo premolare ed il primo molare destro, probabilmente con del lino impregnato di una qualche resina per proteggere il nervo scoperto

ESTRAZIONE DEI DENTI
L’estrazione dei denti traballanti era facile da effettuare; per quelli doloranti ma fermi sarebbero stati necessari strumenti come pinze o forcipi che non ci sono pervenuti. L’esame delle mummie rinvenute però fa ritenere che tale pratica fosse conosciuta ed applicata.

TRATTAMENTO DEGLI ASCESSI
La presenza di piccoli fori sull’osso mascellare o mandibolare di alcune mummie ha fatto pensare a trapanature per drenare il pus dagli ascessi dentali. A parte l’estrema dolorosità di tale operazione, gli studiosi dibattono se siano effettivamente i segni di antiche trapanature o perdite naturali di materiale osseo

PROTESI
Esistono almeno un paio di testimonianze di protesi (forse) effettuate in vita e (forse) non per motivi estetici sul defunto. Un secondo e terzo molare uniti da un filo d’oro risalenti al 2500 BCE sono stati ritrovati a Giza e costituivano forse il tentativo di bloccare il terzo molare, che aveva perso le radici per un’infiammazione, al secondo molare (“Ponte di Giza”).

Un impianto simile, che legava un canino agli incisivi, di cui almeno uno mancante, è stato ritrovato invece ad el-Quatta tra i resti di un cranio distrutto. Un terzo impianto, sicuramente effettuato in vita e risalente all’epoca tolemaica, potrebbe essere stato effettuato in Egitto ma ci sono molti dubbi al riguardo. In tutti i casi, gli studiosi discutono (animatamente) se siano effettivamente protesi o amuleti.

Altri due ponti dentali, risalenti al V-IV secolo BCE, sono stati ritrovati intorno a Sidone ma in tombe contenenti oggetti egizi, per cui esiste la possibilità che fossero stati creati in Egitto o comunque da dentisti egizi.


1 pensiero su “PATOLOGIE DENTALI”